当院の検査体制
生化学院内迅速検査機器「Yumizen M120 Banalyst」
少量の採血で複数の重要な項目を迅速に測定できる分析装置「Yumizen M120 Banalyst」を導入しています。診察前後に結果確認することで迅速な診断が可能です。日本製の信頼できる装置、5~8分で検査可能です。
測定可能な採血項目
- HbA1c(糖尿病の管理指標)
- CRP(炎症・感染症の指標)
- シスタチンC(筋肉によらない腎臓機能の指標)

自動血球計数装置 LC-710
少量の採血で血液成分を迅速に測定できる分析装置「LC-710」を導入しています感染症や炎症の急性期診断、貧血治療において迅速で適切な診療が可能です。約1分で検査可能です。
測定可能な採血項目
- 白血球数(WBC):感染症や炎症の指標
- 赤血球数(RBC)、ヘモグロビン濃度(Hb):貧血や多血症の評価
- 血小板数(PLT):止血機能の評価
- 白血球3分類(リンパ球、単球、好中球):免疫状態の把握

心疾患検査機器:蛋白質分析装置「ラピッドピア2」
心筋梗塞や肺塞栓、心疾患などの早期診断に有用な検査機器です。院内で10~15分で測定可能です。
測定可能な採血項目
- 心筋トロポニンI(cTnI):急性期心筋梗塞など心筋壊死を示す高感度マーカー
- H-FABP:心筋障害の早期検出に有用
- BNP:心不全や弁膜症などの程度を見るマーカー
- Dダイマー:肺塞栓や深部静脈血栓症などの診療に有用

グルコース分析装置「メディセーフフィットプロ2」
精度の高いグルコース分析装置です。血糖値10~1000㎎/dLの測定が可能です。ヘマトクリット値10~70%の範囲において影響を受けづらいことが確認されており、精度の高い血糖測定管理を行えます。

尿分析装置「クリニテックステータスプラス」
- 12種類の尿検査が同時に可能
- 尿蛋白クレアチニン比にて随時尿で1日のたんぱく尿の推定も可能、尿の希釈や濃縮の影響を補正

心電図・血圧脈波検査装置「VS2000A」
- 12誘導心電図(ECG):不整脈・虚血性変化・心筋梗塞後・心肥大や高血圧性の変化、電解質異常による心臓への影響などを検出可能です。
- CAVI(心臓足首血管指数):血圧の影響を受けにくい動脈硬化そのものの進行度を見る検査です。将来的な心筋梗塞や脳卒中のリスクとして治療の方針の参考になります。血管年齢としても表示されます。
- ABI(足関節上腕血圧比):足首と上腕の血圧を比較することで、下肢の血流障害(末梢動脈疾患)の評価が可能です。

X線撮影システム「X'sy Anesis」
- 被曝量が少なく安全、高画質で迅速な画像表示を実現する、次世代のX線画像診断技術です。
- ワンタッチ操作の電磁ロック方式により,撮影位置の微調整や固定を簡単かつスムーズに行え,検査時間の短縮を支援します。
- 天板表面にはソフトマットを備えています。寝台に横たわる際にゴツゴツせず,ひんやりしにくいやさしい体感を実現します。

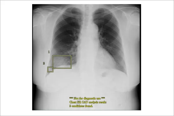
胸部レントゲンAI画像診断支援システム(エルピクセル社製 EIRL Chest)
- 胸部X線画像における異常所見の検出を支援するため、エルピクセル社のAI画像診断支援システム「EIRL(エイル)Chest」を導入
- AIのディープラーニング技術を活用し、肺がん、肺炎、気胸などの異常陰影を自動で検出・強調表示します。医師の診断をサポートすることで、見逃しのリスクを軽減し、より正確で迅速な診断につなげることが可能
- 医師単独の読影と比べ、全体として12.5%の感度上昇するとされ、医師の経験と組み合わせることにより、より安心な検査体制を構築することが可能

末梢骨DXA骨密度測定機器(二重エネルギーX線吸収測定法)
当院では、二重エネルギーX線吸収測定法(DXA法)による骨密度検査を行っています。DXA法は、世界的に信頼されている骨密度測定の基準であり、短時間で高精度な評価が可能です。
- 正確な測定:DXA法による骨密度の信頼性の高い測定
- 短時間検査:測定時間は約8秒、X線照射はわずか5秒
- 低被ばく:必要最小限のX線量で安心
- 再現性の高いポジショニング:安定した測定結果を実現
- 高画質:微細な変化も捉える画像品質
骨粗しょう症の早期発見に有用であり、更年期や腎臓病をはじめ患者さんの健康管理に役立ちます。

超音波検査装置:キヤノンメディカル Aplio Flex
当院では、キヤノンメディカルシステムズ社製の最新型超音波診断装置「Aplio Flex」を導入しています。
高い操作性と診断性能を兼ね備えたこの装置は、心臓・頸動脈・腹部・甲状腺・下肢静脈など幅広い検査に対応し、より正確で再現性の高い診断を可能にします。
特徴
- 脂肪肝評価:Attenuation Imaging(ATI)
超音波の減衰度合いを解析し、脂肪肝の定量評価を実現します。 - Auto EF(自動左室駆出率解析)
心臓の収縮能(EF)を自動解析。心不全や心機能障害の診断に有用です。 - 頸動脈IMT測定(内膜中膜厚)
動脈硬化の進行度を把握し、心筋梗塞や脳卒中リスクの評価に役立ちます。高血圧、脂質異常症や糖尿病患者などハイリスク患者において特に有用です。

医療管理用体成分分析装置
- 体成分分析装置(医療用INBODY)
- 体を化学的観点から4 つ( 体水分・タンパク質・ミネラル・体脂肪)の現状を表示。
- 筋肉量や脂肪の部位別評価を視覚的に行い、生活習慣病やサルコペニアの栄養療法や運動療法の経時的な評価・指標が可能。
- 腎臓病や心臓病の体水分評価、浮腫や脱水症の診断や評価に用いることができる。
- 医療管理モデルのため保険診療可能。

呼吸機能検査&鼻腔通気検査
- スパイロ検査(肺活量測定,努力肺活量測定)、鼻腔通気度検査が行えます。
- 喘息やCOPD、間質性肺炎などの肺疾患の診断
- 鼻の通り易さを調べる検査が行えます。鼻科手術の決定やSAS(睡眠時無呼吸症候群)の診断・評価目的で主に使用される検査が行えます。

ホルター心電図
- 24時間の心電図を記録する検査機器です。普段の生活をしながら心臓のリズムを詳しく調べることができます。
- クラス最薄、最軽量で普段通りの生活が可能。
- 防水機能あり

睡眠時無呼吸検査
- 睡眠時無呼吸の簡易検査
- 1.77インチのカラーLCDを搭載
- 記録中・センサ装着状況を示すインジケータLED

聴力検査機器(オージオメーター)
- 聴力検査
- 軽量・コンパクトでリラックスした空間で検査が可能

呼気CO検査機器
- 手軽に呼気一酸化炭素濃度(CO)を測定

AED
- 2分間の心肺蘇生終了後、最短8秒で解析・充電(200J)を完了します。心肺蘇生の中断の短縮と、より早期の電気ショックを目指します。
